德英生物科技
Research & Development

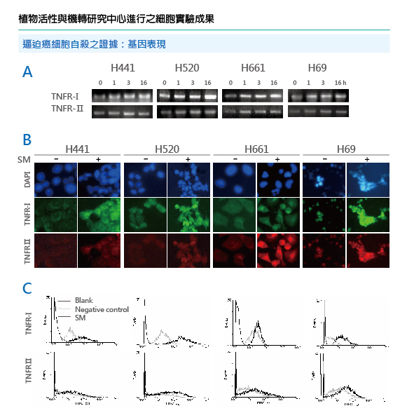
細胞實驗